结肠炎|直肠炎|肠息肉

溃疡性结肠炎|克罗恩病

肠易激综合征|十二指肠炎

大便干结|排便困难

便次减少|排便不尽

腹泻|腹痛|大便粘液

便血|腹胀|肠道痉挛

浅表性胃炎|急慢性胃炎

胃肠功能紊乱|胃溃疡

当前位置:首页 > 肠病 > 克罗恩病 >

克罗恩病病因了解

未知      作者:>bhss       日期:2015-08-24 09:36

克罗恩病是一种原因不明的肠道炎症性疾病,在胃肠道的任何部位均可发生,但好发于末端回肠和右半结肠。本病和慢性非特异性溃疡性结肠炎两者统称为炎症性肠病(IBD)。本病临床表现为腹痛、腹泻、肠梗阻,伴有发热、营养障碍等肠外表现。病程多迁延,反复发作,不易。本病又称局限性肠炎、局限性回肠炎、节段性肠炎和肉芽肿性肠炎。

本病尚无根本的治愈方法,许多病人出现并发症,需手术治疗,而术后复发率很高。本病的复发率与病变范围、病症侵袭的强弱、病程的延长、年龄的增长等因素有关,死亡率也随之增高。

我院专家表示:本病病因不明,可能与感染、遗传、体液免疫和细胞免疫有一定关系。
 


肠道菌群失衡有可能导致克罗恩病发生

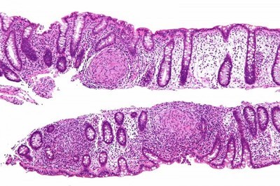
克罗恩病为贯穿肠壁各层的增殖性病变,可侵犯肠系膜和局部淋巴结,病变局限于小肠(主要为末端回肠)和结肠,二者可同时累及,常为回肠和右半结肠病变。本病的病变呈节段分布,与正常肠段相互间隔,界限清晰,呈跳跃区(skip area)的特征。病理变化分为急性炎症期、溃疡形成期、狭窄期和瘘管形成期(穿孔期)。急性期以肠壁水肿、炎变为主;慢性期肠壁增厚、僵硬,受累肠管外形呈管状,其上端肠管扩张。黏膜面典型病变有:

1.溃疡

早期浅小溃疡,后成纵行或横行的溃疡,深入肠壁的纵行溃疡即形成较为典型的裂沟,沿肠系膜侧分布,肠壁可有脓肿。

2.卵石状结节

由于黏膜下层水肿和细胞浸润形成的小岛突起,加上溃疡愈合后纤维化和瘢痕的收缩,使黏膜表面似卵石状。

3.肉芽肿

无干酪样变,有别于结核病。

4.瘘管和脓肿

肠壁的裂沟实质上是贯穿性溃疡,使肠管与肠管、肠管与脏器或组织(如膀胱、阴道、肠系膜或腹膜后组织等)之间发生粘连和脓肿,并形成内瘘管。如病变穿透肠壁,经腹壁或肛门周围组织而通向体外,即形成外瘘管。

21 世纪的医学策略是“4P”,即“预测”、“预防”、“个体化”和“参与”。我院相信只要通过多学科的共同努力及患者的积极配合,克罗恩病患者终将迎来一个明媚的春天!

上一篇:没有了

下一篇:我院专家归结克罗恩病临床表现

考虑部分患者打字不便或希望与专家电话沟通,医院特开通免费电话服务,您留下电话,专家会在5~10分钟内给您回电,请您提前找一处私密的地方接听电话。

就诊姓名 :

联系电话 :

预约时间 :

病情描述 :

医院地址:北京西三环丰益桥西100米
预约挂号电话:010-52227171(无节假日医院)
版权所有:北京丰益肛肠医院
版权声明:本站部分信息来自网络仅供参考,不能作为 诊断的医疗的依据,请谨慎参阅。
备案号:京ICP备11041111号