

胃肠疾病的反复发作,甚至不少人已经达到“谈胃色变”的地步,一提到胃肠疾病就想到难以、反复发作 等,甚至还会担心久治不愈导致癌变。究其原因,引起胃肠疾病的“元凶”幽门螺杆菌得不到有效查杀是不可忽视 的一大因素。
- 腹胀、腹痛、
- 嗳气、反酸
- 腹胀、腹痛、
- 腹胀、腹痛、
- 腹胀、腹痛、
- 腹胀、腹痛、
这些都是胃肠疾病患者常见的症状




“C14幽门螺杆菌检测技术”是世界卫生组织极力倡导,受到国际医学界权威人士充分肯定的先进技术,是目前 检查幽门螺杆菌最为方便、快捷的一种技术,被称为“胃病检验史上的里程碑”。该技术不仅具有现代医学创新特征 ,而且临床检查无辐射、无创伤、方便、卫生、无副作用,不会造成基因突变。C14幽门螺杆菌检测技术不仅令许 多高血压、心脏病、对传统胃镜恐惧的患者避免了做胃镜的不适,而且适用于孕妇、乳母和婴幼儿,是最安全最环 保的一种幽门螺杆菌检测方式。





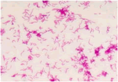
幽门螺杆菌是胃肠病的“元凶”
幽门螺旋杆菌(HP)是人类慢性胃炎、消化性溃疡的主要病因,大约67%至80%的胃溃疡和95% 的十二指肠溃疡都是由幽门螺旋杆菌引起的,其感染还与胃癌、胃黏膜相关淋巴样组织淋巴瘤的发生 密切相关……- 幽门螺杆菌可造成胃炎症状和病理改变。
- 患慢性胃炎时HP检出率非常高,而胃黏膜正常者则不能检出此菌。
- 慢性胃炎病人血清中HP抗体明显增高,胃液中可检出抗HP。
- 针对HP进行治疗,会使慢性胃炎病人胃黏膜明显改善。
- 60%-80%的胃溃疡和70%-100%的十二指肠溃疡病人的胃窦部可检出HP。
- 抗HP药物可治疗传统抗溃疡药物治疗无效的难治性溃疡。

幽门螺杆菌(HP)感染是慢性活动性胃炎的始发 病因,也是消化性溃疡、胃黏膜相关淋巴组织(MALT ) 淋巴瘤和胃癌的主要致病因素。1994年世界卫生组 织/国际癌症研究机构 (WHO/IARC) 将幽门螺杆菌定 为Ⅰ类致癌原。Hp具有高感染率和耐药性。

1.简便快速:
C14幽门螺杆菌检测技术在罗短时间内便可快速准确 检测出幽门螺杆菌,免除以往X线餐、插管的痛苦。2.无创检测:
体外检测HP,具有无创伤、无副作用等农耕出优点。该 技术令众多高血压、心脏病、对传统胃镜恐惧的患者避免 了做胃镜的不适感。3.无辐射性:
C14幽门螺杆菌检测技术所采用的C14元素稳定,无 放射性、无辐射,对人体不产生任何影响。
4.独特先进:
C14幽门螺杆菌检测打桩是检测胃肠疾病一种独特手 段,对人体无副作用,是现代医学科技发展的结晶。5.权威可靠:
C14幽门螺杆菌检测技术对幽门螺杆菌检测准确率高达 99%以上,北京丰益医院是患者公认的最好的胃肠科医院。6.范围更广:
不仅适合成年人、高血压、心脏病患者,也适合孕妇、 乳母和婴幼儿的使用,并可在短期内多处重复使用。


消化不良初诊者(病史不长,年龄小于45
岁并无胃癌报警症状)、复诊者;
害怕胃镜检查者(除非需要进行胃镜活检 以进一步确诊者);
长期使用NSAID类(非类固醇类抗炎 药)药物等。
预防胃癌或者有胃癌家族史者;
胃十二指肠溃疡、慢性活动性溃 疡、胃窦炎、胃黏膜相关性淋巴 样组织淋巴瘤等需要根除HP的患 者;
害怕胃镜检查者(除非需要进行胃镜活检 以进一步确诊者);
长期使用NSAID类(非类固醇类抗炎 药)药物等。


胃十二指肠溃疡、慢性活动性溃 疡、胃窦炎、胃黏膜相关性淋巴 样组织淋巴瘤等需要根除HP的患 者;


早知道来北京丰益医院就好了,C14幽门螺杆菌检测技
术很快便检测出幽门螺杆菌,不需要做胃镜就可以查胃病,
真厉害!以前在其他医院做过幽门螺杆菌检测,由于准确率不够
高,最后还要求做胃镜检查,不仅浪费时间还遭受胃镜痛
苦,北京丰益医院采用C14幽门螺杆菌检测技术一次就好了
有胃病好多年了,一直害怕做胃镜检查,来到北京丰益医院胃肠诊疗中心采用C14幽门螺杆菌检测技术,终于可以
好好治治老胃病了。我67岁了,张力主任给我用C14幽门螺杆菌检测技术,
很快就找到了我胃病的根源,吃了几服药后好多了,很感谢
张主任。
没想到检查幽门螺杆菌会这么简单,不但不需要做胃
镜,而且准确率还高,有高血压也不怕,不愧是大医院。北京丰益医院治疗胃肠疾病很专业,不但使用C14幽门
螺杆菌检测设备先进,而且服务也好,更主要的是能很快找
到胃病根源,治疗起来有希望。

女性最好给肠道洗洗澡
繁忙的工作节奏,不规律的饮食生活,使很多都市女性肠道长期积蓄毒素,带来便… 【详细】
工作之余如何注意保护胃肠
家住昌平区的林玲,已婚,今年28岁,现在自己一人经营了一家婚庆公司。公司里里外外都是她一个人在忙活。去年下… 【详细】
